深圳尊美会机构
发布者:18新利宣传部 发布时间:2013/12/30 点击率:
口腔健康专题第四篇(儿童拔牙的问题) @尊美会儿童口腔俱乐部

孩子们在牙科这个陌生的环境中,总是非常恐惧,哭闹的场景经常可见,如何做到让孩子们愉快地接受牙科治疗呢?尊美会牙科专家引入了美国MATRX数字化清醒镇静镇痛(笑气/氧气)流量计,进行笑气镇静治疗。笑气通过抑制中枢神经系统兴奋性神经传递质的释放和神经冲动的传导及改变离子通道的通透性而产生药理作用,其显著的特点是镇痛作用强,对呼吸道无刺激性,亦不引起呼吸抑制。吸入人体后显效快、操作简便、不良反应少、术后意识恢复较快、安全性高。只要孩子们不张嘴说话,用鼻子吸气,很快就能减轻治疗过程的焦虑和疼痛,顺利地完成各种复杂牙科治疗。
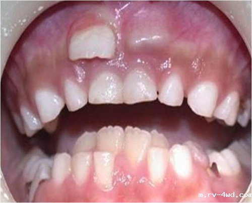
在正常情况下,每一个乳牙的下方都对应有一个恒牙,乳牙过早缺失造成的最主要问题是间隙丧失,即:乳牙早失留下的空隙被相邻的牙齿侵占而变小,甚至全部消失,致使继承恒牙不能正常萌出,恒牙排列不齐,此现象在乳后牙区尤为明显。多个乳牙早失还会造成颌骨发育不良,甚至颞颌关节功能紊乱。为了避免畸形的发生,应保护好乳牙,预防乳牙早失;一旦发生乳牙早失,特别是乳磨牙早失,请到尊美会来,我们的牙科专家会给您提供专业的指导意见和个性化的治疗方案。
请关注我们的微信账户:ZMH-82888000
口腔健康专题第五篇(儿童口腔问题存在的误区) @尊美会儿童口腔俱乐部
2013-11-03 尊美会
误区一:“乳牙反正要换,坏了也不用补”。儿童龋齿在我们日常生活中十分常见,很多家长都会认为,宝宝烂牙齿没什么大不了,反正乳牙迟早都要换的,与其费钱又费事,倒不如等它自然脱落的好。殊不知“儿童牙齿中出现的一些寻常问题不容小觑”。乳牙患龋齿对孩子的健康危害不浅,如果任凭龋齿发展,其会破坏牙齿的结构,影响孩子的咀嚼和进食,还有可能引发感染,出现面部肿胀、淋巴结肿大等问题;一旦龋坏严重,导致乳牙过早缺失,不仅影响恒牙的正常发育(易龋坏),还会造成邻牙向缺失牙的间隙倾斜,影响恒牙萌出顺序,导致牙颌畸形,还可能有碍营养吸收和全身发育。尊美会专家告诉您:孩子出现乳牙的时间有早有晚,第一颗乳牙一般在6个月左右出现,在两岁左右,孩子的20颗乳牙会基本萌齐。乳牙受伤的“后遗症”是非常严重的,家长应该提高早期的牙齿保健意识,培养孩子定期看牙医的习惯。如每三个月或半年看一次牙医,医生会定期提醒孩子做口腔保健体检,早期为孩子的龋齿做治疗,并以最好的最适合您孩子的方法治牙。

口腔健康专题第六篇(儿童歪牙的烦恼) @尊美会儿童口腔俱乐部
2013-11-06 尊美会

1、为什么从母亲怀孕时期就应当预防儿童歪牙呢?
母体怀孕第3周,胎儿面部开始发育,第2个月乳牙的牙胚开始形成,直到二十岁左右第三磨牙的牙根完全形成和恒牙列完全建立。在此期间牙齿、颌骨与颜面均处于不断的生长发育变化中,任何影响生长发育的因素均可导致牙、颌、面的畸形。尤其是胎儿期和婴儿期,胎儿时期应当注意母亲的营养与健康,因为这一时期缺乏营养或生病,极易造成胎儿的先天畸形,若怀孕后2个月感染风疹,胎儿出生后患牙颌畸形、乳牙迟萌、牙齿数目、形态异常以及颌骨发育紊乱的几率明显增高。如果准妈妈孕期营养不良,缺少胎儿生长发育必须的钙、磷、铁等矿物质以及维生素B、C、D等,都可造成牙齿发育异常。妊娠期间,母亲受外伤或受大剂量放射线的辐射,也可引起胎儿牙齿发育异常。妊娠初期患病,如风疹、中毒、内分泌功能失调及其他传染病也会影响胎儿牙齿的萌出,甚至会导致牙齿发育不全或牙齿畸形。
2、两岁前孩子的不良口腔习惯,需不需要纠正呢?
通常在两岁以前,孩子时常会通过吸吮手指、奶嘴及嘴唇获得满足及安全感,这段时间,不需要刻意让孩子戒除不良习惯,家长要多给予孩子一些关爱,多一些耐心,可以适当的转移一下孩子的注意力,随着孩子年龄增加,这些不良习惯的欲望会慢慢降低。

3、三到四岁孩子的不良口腔习惯,应该如何纠正呢?
以正面鼓励取代责罚:父母在帮助孩子戒除吸手指的习惯时,应避免使用负面用语,以免打击他的自尊心,引起孩子的反抗心理。待他语言能力有一定成熟后,家长还可跟他讨论,例如“妈妈不让你吸手指,并不是因为你做了什么坏事,而要处罚你,而是因为吸手指会让牙齿咬不好、吃东西不方便”或“牙齿暴暴的,这样以后就不帅/美啦!”让孩子认识到这些习惯会造成一些不好的后果,提高戒除的动机。
4、五岁后的儿童如果还有口腔不良习惯,应该用什么方法帮助孩子去解决呢?
在混合牙齿列时期,不良习惯早期戒除,咬合异常的情况还是有机会恢复正常的。为防止咬合异常成为不可逆的现象,需要及早看专科医生,家长应主动、积极的协助及配合医生的治疗。尊美会牙科专家引进了MRC系列矫治技术,可以帮助孩子们积极地破除各种不良口腔习惯,引导牙齿、颌骨、面型的正常发育,收到事半功倍的效果。
11月23日讲座:矫正歪牙不求人,为孩子塑造美丽面型-@尊美儿童口腔俱乐部
2013-11-20 尊美会
尊美牙科引进了澳大利亚MRC矫治系统,针对现阶段孩子牙齿不齐的表现,选择了不同型号的MRC矫治装置,只需要孩子从小开始,在家长的监管下,每个白天戴用2-3个小时,夜间睡觉时坚持戴用。尊美牙科专家将定期监控,并进行肌功能各项训练的指导。当然离不开家长和孩子们耐心配合。随着疗程的进展,孩子们一定能拥有排列整齐的牙齿和美丽协调的面型。
如何做一个好患者?
2013-12-05 尊美会

2013-12-03 尊美会

尊美牙科合伙人美国知名牙科专家Justine Tin专程从美国飞抵尊美牙科,亲自为尊贵会员进行牙周手术治疗、种植牙、美齿综合治疗以及复杂牙的拔除,让我们的会员不出国门,即可享受到世界一流的美式牙科治疗服务。




现代研究表明,很多孩子都存在歪牙,而且早在孩子3岁时就能发现。拥挤的牙齿和颌骨发育的畸形不仅仅是因为颌骨发育的退化或者遗传因素,很大程度是由多种口腔不良习惯引起的。口腔不良习惯持续的时间越长,错颌畸形发生的可能性和严重程度就会越大。这是一个非常重要但又容易被忽视的问题,因此尽早破除口腔不良习惯,阻断畸形的发展是十分必要的。尊美牙科特邀MRC矫正专家为孩子和家长们授课并进行临床检查,制定治疗方案。



尊美牙科讲座于棕榈泉高尔夫学院圆满举行
2013-12-10 EVIAN 尊美会



12月7日下午,尊美牙科联合深圳棕榈泉高尔夫学院举办了“通过鼻子呼吸获得健康牙齿&塑造美丽脸型”主题讲座活动,同时让孩子们体验高尔夫活动的乐趣。




棕榈泉学院简介
棕榈泉国际高尔夫学院为棕榈泉控股有限公司旗下机构,学院拥有者世界上最优秀的教学团队,他们来自世界各地,凭借着丰富的专业理论知识,杰出的实践经验,创新的教学理念,无国界的沟通能力,在首席执行官、关天朗启蒙教练教练丹尼·韦博的带领下,创造着高尔夫业界的传奇。

尊美牙科特邀法籍儿童齿科专家
Dr. Kamel Benaissa于棕榈泉高尔夫学院模拟房为家长和孩子们授课,活泼聪明的孩子们主动和Dr. Kamel用英文交流,生动活力的学习过程让整个模拟房充满了欢笑声。
Dr. Kamel Benaissa简介
牙外科学博士,拥有20多年的口腔矫正临床工作经验 法国巴黎第六大学矫正专业硕士学位,La Pitie Salpetriere医院附属学院口腔颌面矫形硕士学位 荣获巴黎罗伯特德勃雷医院儿童口腔矫正学专科医师证书 法国矫正协会会员 国际矫正协会会员 获得的资质:Incognito舌侧矫治、Invisalign隐性矫治、MRC肌功能矫正技术 20多年的口腔矫正临床工作经验 戴娟 简介 香港大学牙医学院博士,原第四军医大学口腔医院正畸科讲师,主治医师,香港大学荣誉临床助理教授,国际牙科研究联合会(IADR)会员,欧洲正畸协会(EOS)会员,世界正畸协会会员(WFO),中国口腔正畸协会(COS)会员。临床擅长各种儿童与成人错合畸形矫治。特别在自锁矫治技术,TWEED矫治技术以及早期预防性矫治、骨性下颌后缩的功能矫治方面具有特色。承担国家自然科学基金1项,参与国家及省级课题10余项,获得军队医疗成果与陕西省科技进步二等奖2项,IADR的Travel Award奖,发表学术论文70余篇,其中SCI国际论文28篇,主编译专著7部。
尊美牙科简介
法国资深牙科博士DR.KAMEL为尊美牙科会员亲诊并指导肌功能训练
2013-12-13 jx 尊美会


12月8日上午,尊美牙科诚邀法国MRC牙齿矫正专家Dr.Kamel Benaissa 亲临深圳尊美牙科举办了“通过鼻子呼吸获得健康牙齿&塑造美丽脸型”主题讲座活动,同时亲自为孩子们检查牙齿口腔健康和制定矫正方案,尽早破除口腔不良习惯,阻断畸形的发展。
以快乐旅行为开头,带领孩子们一步步了解正确的口腔习惯的重要性,和不良习惯带来的弊端。循序渐进,通俗易懂。



DR.KAMEL亲自为小孩子们检查和讲解正确的口腔习惯。

活动结束后DR.KAMEL和戴博士交流心得。
DR.KAMEL与尊美牙科工作人员亲切的合影留念。


尊美牙科简介
深圳首家贵宾会员制的顶级医疗机构,深圳儿童口腔俱乐部,18新利会员健齿中心。
地址:深圳市福田区深南路与彩田路的交界处,东方新天地广场C座2207
电话:0755-82888000
- 上一篇:鲁粤轩 2014/10/20
- 下一篇:山东郓城水浒酒业有限公司 2013/3/22

